KM Dent е малка семейна практика с високо ниво на оборудване, в която може да получите от лечение на малък кариес до пълно възстановяване на съзъбието с импланти, фасети и корони. С обстановката, която създаваме и отношението към пациента се стремим да превърнем посещението при зъболекаря в релаксираща среща с приятели.

Кабинет

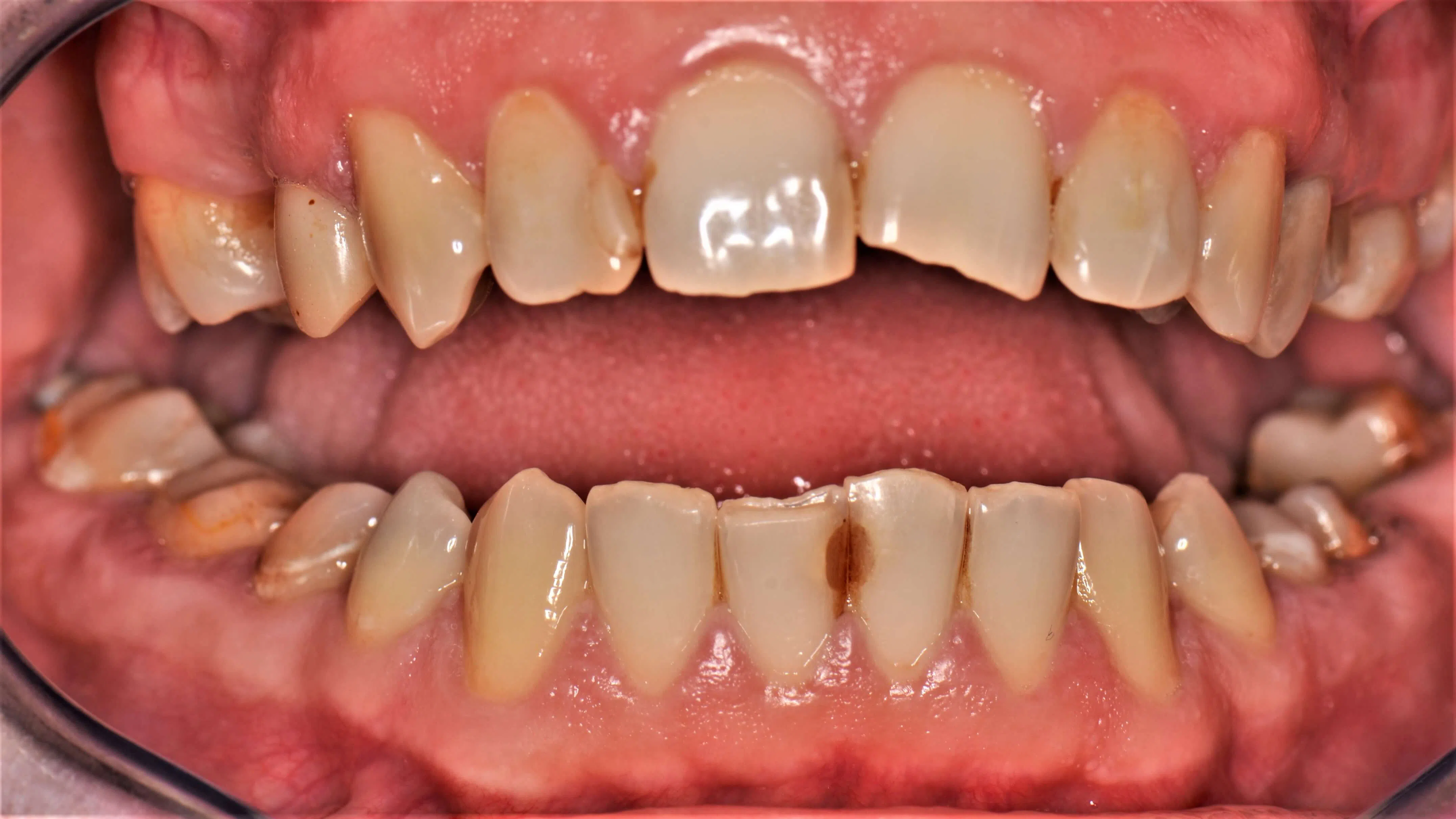
Цялостна рехабилитация на съзъбието

С времето в човешкото съзъбие настъпват необратими промени, част от които се дължат на износване на зъбите, в следствие на дъвкателната функция, парафункции ( стискане и скърцане със зъби) или ерозия, причинена от ацидогенни храни и напитки.

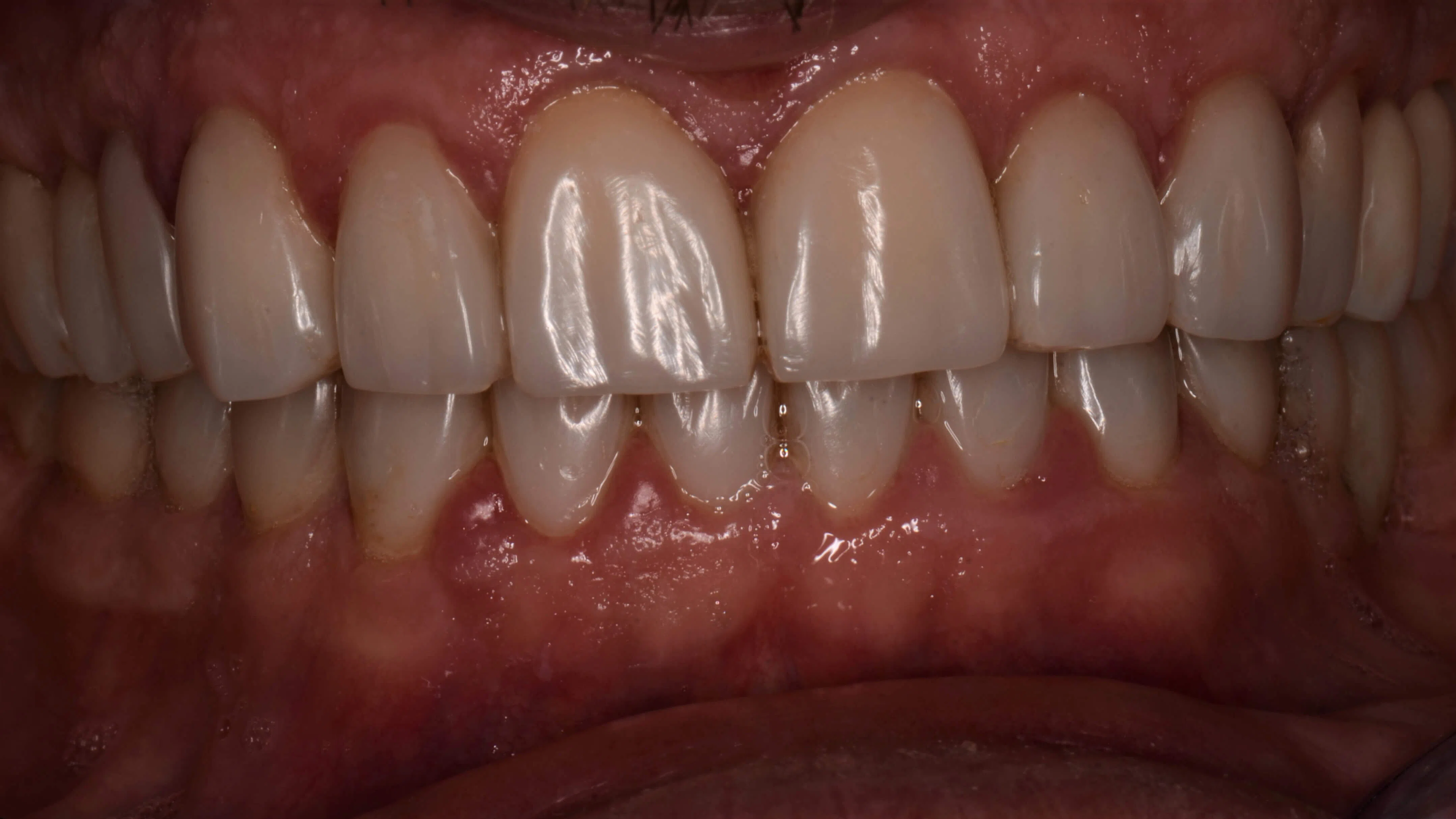
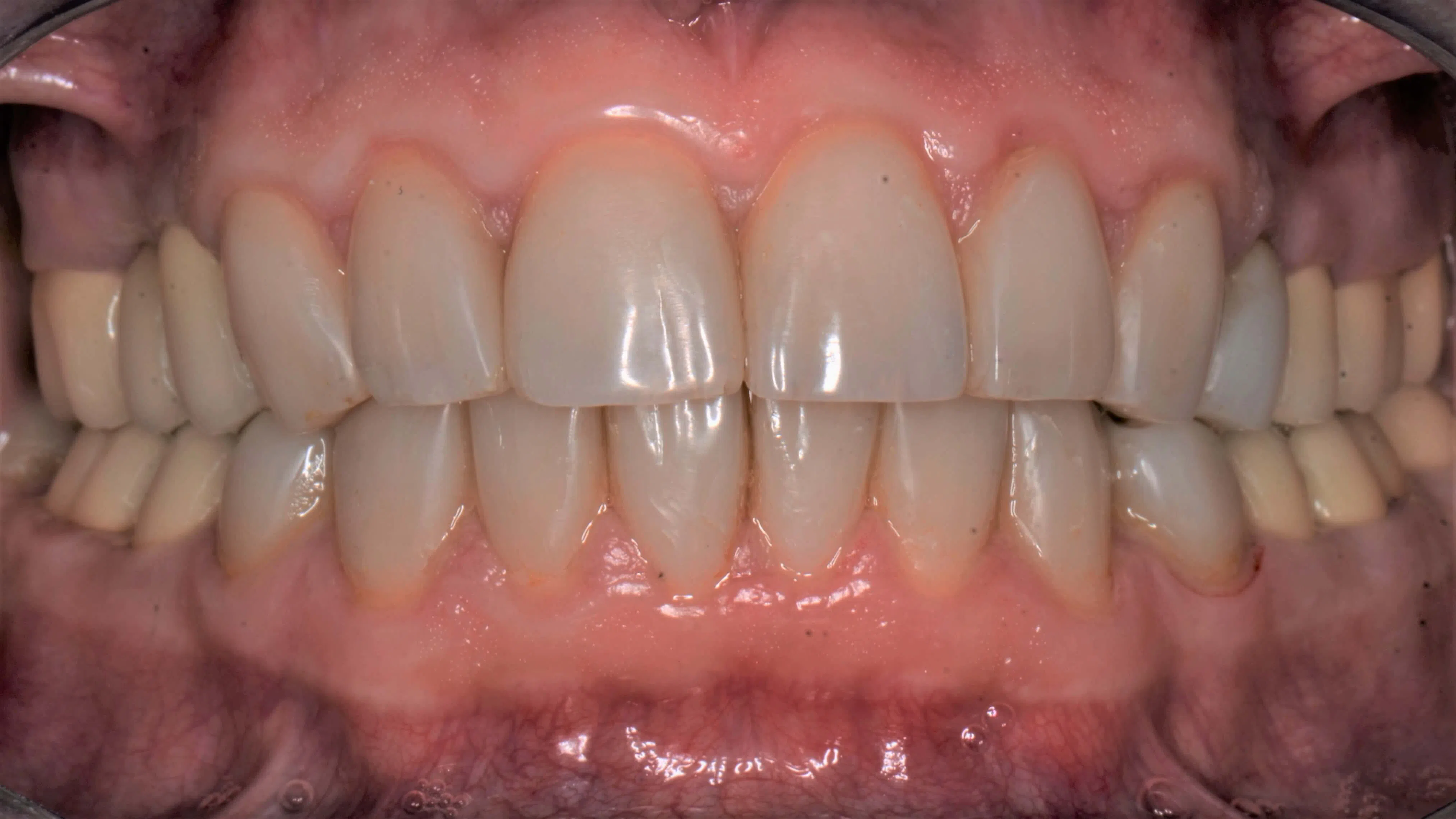
Протетично лечение

При силно разрушени или липсващи зъби протезните конструкции (коронки, мостове, протези) възстановяват функцията и естетиката, с което допринасят за пълноценния живот на пациента - той може да се усмихва, да говори и да се храни нормално.

Лаборатория

Част от семейството на КМ Дент е зъботехническа лаборатория Стамен Костов Денталаб. Дългогодишното сътрудничество и многото случаи, които сме решили заедно ни позволяват да постигнем висока точност и естетичност на протетичните конструкции, както и да се справим с трудни и сложни клинични ситуации.

Микроскопска ендодонтия

Ендодонтското лечение под микроскоп постепенно се налага като световен стандарт. То дава много по-голяма сигурност в прогнозата на зъба, особено при зъби, които ще носят корона или мост.

Имплантология

Съвременната имплантология, с навлизането на дигиталните CAD-CAM методи, дава възможност за много по-биологични и предвидими във времето клинични решения.

Бондинг

Бондингът е техника, при която чрез добавяне на фотополимер към зъбната структура, се коригират формата, цвета и позицията на зъба.

Лечение на кариес

При сравнително по-малко засягане на зъбните повърхности от кариес, след изчистване на кариозната маса, оформяне и заглаждане, загубените твърди зъбни тъкани се възстановяват с обтурации (пломби)от композитен материал(фотополимер) под изолация с кофердам.

Пародонтология

Зъбната плака, зъбния камък и бактериите в тях водят до възпаление на венеца (гингивит), а ако не се лекува навреме се засяга и костта (пародонтит). Редовната профилактика, отстраняването на плаката и зъбния камък с улразвук и полирането на зъбите с абразив под налягане (air flow) осигуряват здравето на пародонта (зъбодържащия апарат) и пълноценната функция на зъбите.